View Ards Vs Pulmonary Edema Cxr Pictures. Pulmonary edema is fluid accumulation in the tissue and air spaces of the lungs. For more ultrasound snacks and info :

High Altitude Pulmonary Edema Is Initially Caused By An Increase In Capillary Pressure Circulation
High Altitude Pulmonary Edema Is Initially Caused By An Increase In Capillary Pressure Circulation from www.ahajournals.org
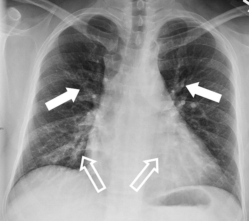
Cyanosis refractory to oxygen administration. Alveoli filled with protein rich edema. In contrast, noncardiogenic pulmonary edema is caused by various disorders in which factors other than elevated pulmonary capillary pressure are responsible for.

Pulmonary edema that goes untreated can increase pressure in the pulmonary artery, eventually making the heart's right ventricle weak and causing it to start to fail.

Acute pulmonary oedema is a very frightening experience for the patient and represents a genuine medical emergency. This fluid makes it difficult for the lungs to function (to exchange oxygen and carbon dioxide with cells in the bloodstream). Learn what distinguishes pulmonary edema from pneumonia. A useful tool to differentiate acute cardiogenic pulmonary edema from acute respiratory distress syndrome.